髕骨骨折 之併發症 後遺症 建議與治療 – 松山景能物理治療所

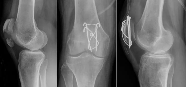
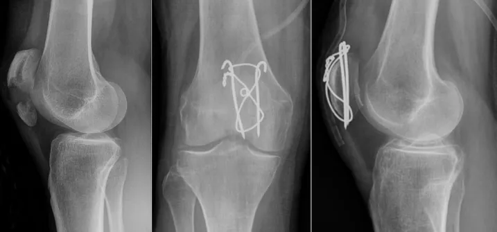
髕骨骨折 手術有哪些?
髕骨骨折 手術的方式會因患者的情況、骨折部位和骨折程度等因素而有所不同,一般有以下幾種手術方式:
患者需要與醫生進行詳細的討論,選擇最適合自己的手術方式。
開放性手術:器械將骨頭復位並使用螺釘、鋼板、釘子等固定器材將骨頭固定在正確的位置。
關節鏡下手術:通過小切口和關節鏡器械將骨頭復位,使用細小的固定器材進行內固定。
開放性復位外固定手術:使用鋼釘或針對骨骼的外固定器件,將骨頭復位並固定。
髕骨骨折 術後有哪些缺點?
手術風險:任何手術都有風險,包括出血、感染、深靜脈血栓等。
恢復時間:需要進行物理治療以及復健訓練計畫。
某些活動的限制:術後的一段時間內,需要限制一些高強度活動,例如:跪姿、跑步、跳躍。
恢復時間:需要進行物理治療以及復健訓練計畫。
某些活動的限制:術後的一段時間內,需要限制一些高強度活動,例如:跪姿、跑步、跳躍。
若有需求上述情況,建議預約物理治療評估檢查釐清!請點此
髕骨骨折 術後有哪些併發症/後遺症?
關節強度和穩定性不足
關節僵硬
疼痛和腫脹
感染和血栓
肌肉萎縮
骨折處關節軟骨易退化
骨折處局部循環不良
骨折處部位軟組織出血和疤痕組織產生
骨折處沒有彈性的疤痕,容易受天氣變化,肩肘關節產生疼痛悶脹
神經和血管損傷
骨折未癒合或錯位
運動功能障礙
肌肉撕裂與斷裂
關節僵硬
疼痛和腫脹
感染和血栓
肌肉萎縮
骨折處關節軟骨易退化
骨折處局部循環不良
骨折處部位軟組織出血和疤痕組織產生
骨折處沒有彈性的疤痕,容易受天氣變化,肩肘關節產生疼痛悶脹
神經和血管損傷
骨折未癒合或錯位
運動功能障礙
肌肉撕裂與斷裂
需要注意的是,以上併發症並不是所有髕骨骨折手術都會出現,具體情況還要根據患者個人的身體狀況和手術過程進行評估
髕骨骨折 術後症狀有哪些?
髕骨骨折手術後症狀通常有以下兩面向演化階段:
第一面向:關節症狀感受由輕到重,並且症狀會以加總呈現
角度受限卡住→角度受限並緊繃→角度受限緊繃且痠痛→角度受限緊繃痠痛伴隨鈍痛→角度受限緊繃痠痛多時鈍痛時而刺痛且無力感強烈→可能有假體脫離或縫合處崩解可能需再次手術。
第二面向:關節所搭配肌肉之力量影響由輕到重,以5至0分表現為以下:
5分:可以抵抗地心引力,完成所有的關節活動度,抵抗最大的阻力。
4分:可以抵抗地心引力,完成所有的關節活動度,抵抗部分的阻力。
3分:可以抵抗地心引力,完成所有的關節活動度。
2分:在無地心引力的平面上,完成所有的關節活動度。
1分:在無地心引力的平面上,沒有動作,但是可以觸診到肌肉收縮。
0分:沒有動作,肌肉也沒有收縮
髕骨骨折 手術後症狀會自然好嗎?什麼時候應該去找物理治療師?
若無進行復健計畫(建議必須由物理治療師評估是否需進行),可見傷口皆已恢復後,並沒有逐漸改善的結果,或恢復到一定程度後持平了,並無法再更進一步恢復的時候。
景能物理治療師如何評估及治療
物理治療評估及治療分為三個面向:
身體結構:骨骼、神經肌肉筋膜等是否有位置不正確或者有損傷,必須優先修復,組織沾黏需去除、組織彈性要恢復、循環要良好、關節活動正確。
動作品質:確定受傷的部位所有角度動作情況,肌肉使用方式,不同環境下對動作的影響是否有改變等。
身體素質:肌肉力量是否足以支撐身體使用的需求、肌腱韌帶等是否足夠強韌足以支撐日常身體負荷的需求等。
動作品質:確定受傷的部位所有角度動作情況,肌肉使用方式,不同環境下對動作的影響是否有改變等。
身體素質:肌肉力量是否足以支撐身體使用的需求、肌腱韌帶等是否足夠強韌足以支撐日常身體負荷的需求等。
景能物理治療之宗旨意在於物理學的角度分析人體的功能以及結構的治療科學;使其恢復動作以及結構於理想狀態,流暢、無痛且平衡。
參考資料與文獻
- Berninger MT, Frosch KH. “Change in the treatment of patellar fractures.” Unfallchirurgie (Heidelb). 2022 Jul;125(7):518-526. DOI: 10.1007/s00113-022-01167-y. PMID: 35403904
- Monaco E, Saithna A, Cardarelli S, et al. “Fixation of patella fractures with metallic implants is associated with a significantly higher risk of complications and re-operations than non-metallic implants: a systematic review and meta-analysis.” Int Orthop. 2022 Dec;46(12):2927-2937. DOI: 10.1007/s00264-022-05565-0. PMID: 36208340
- Busel G, et al. “Patella fractures treated with cannulated lag screws and FiberWire® have a highrate and low rate of implant removal.” Injury. 2020 Feb;51(2):473-477. DOI: 10.1016/j.injury.2019.10.002. PMID: 31679830
- Berninger MT, Frosch KH. “Change in the treatment of patellar fractures.” Unfallchirurgie (Heidelb). 2022 Jul;125(7):518-526. DOI: 10.1007/s00113-022-01167-y. PMID: 35403904
- Monaco E, Saithna A, Cardarelli S, et al. “Fixation of patella fractures with metallic implants is associated with a significantly higher risk of complications and re-operations than non-metallic implants: a systematic review and meta-analysis.” Int Orthop. 2022 Dec;46(12):2927-2937. DOI: 10.1007/s00264-022-05565-0. PMID: 36208340
- Busel G, et al. “Patella fractures treated with cannulated lag screws and FiberWire® have a highrate and low rate of implant removal.” Injury. 2020 Feb;51(2):473-477. DOI: 10.1016/j.injury.2019.10.002. PMID: 31679830
- Berninger MT, Frosch KH. “Change in the treatment of patellar fractures.” Unfallchirurgie (Heidelb). 2022 Jul;125(7):518-526. DOI: 10.1007/s00113-022-01167-y. PMID: 35403904
- Monaco E, Saithna A, Cardarelli S, et al. “Fixation of patella fractures with metallic implants is associated with a significantly higher risk of complications and re-operations than non-metallic implants: a systematic review and meta-analysis.” Int Orthop. 2022 Dec;46(12):2927-2937. DOI: 10.1007/s00264-022-05565-0. PMID: 36208340
- Busel G, et al. “Patella fractures treated with cannulated lag screws and FiberWire® have a highrate and low rate of implant removal.” Injury. 2020 Feb;51(2):473-477. DOI: 10.1016/j.injury.2019.10.002. PMID: 31679830
- Berninger MT, Frosch KH. “Change in the treatment of patellar fractures.” Unfallchirurgie (Heidelb). 2022 Jul;125(7):518-526. DOI: 10.1007/s00113-022-01167-y. PMID: 35403904