腓骨骨折 之併發症 後遺症 建議與治療 – 松山景能物理治療所

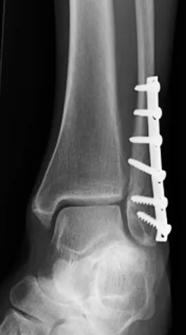
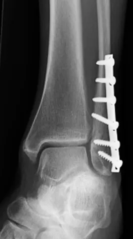
腓骨骨折 手術有哪些?
腓骨骨折 手術的方式會因患者的情況、骨折部位和骨折程度等因素而有所不同,一般有以下幾種手術方式:
以上三種手術方式各有優缺點,具體選擇哪種手術方式需要根據患者的骨折情況和病情進行綜合評估和決定。
患者需要與醫生進行詳細的討論,選擇最適合自己的手術方式。
內固定手術:通過外科手術將腓骨斷端重新排列,然後使用釘子、螺釘、金屬板等內部固定物將骨骼部位固定在一起。
外固定手術:在斷骨處之上和下將斷骨固定,需要長時間的固定。
縫合手術:較輕微的腓骨骨折可以進行縫合手術。
外固定手術:在斷骨處之上和下將斷骨固定,需要長時間的固定。
縫合手術:較輕微的腓骨骨折可以進行縫合手術。
腓骨骨折 術後有哪些缺點?
感染風險:腓骨骨折手術是有風險的,可能會導致感染,需要進行抗生素治療。
骨不連:有時腓骨骨折的治療後骨頭不會連接在一起,這稱為不正常癒合或非聯合性骨折。
關節病變:手術可能會導致關節病變,需要進一步治療。
神經損傷:手術可能會損傷周圍神經,這可能會導致感覺異常、疼痛和運動功能受損。
其他併發症:還可能有術後疼痛、出血、腫脹等其他併發症。
骨不連:有時腓骨骨折的治療後骨頭不會連接在一起,這稱為不正常癒合或非聯合性骨折。
關節病變:手術可能會導致關節病變,需要進一步治療。
神經損傷:手術可能會損傷周圍神經,這可能會導致感覺異常、疼痛和運動功能受損。
其他併發症:還可能有術後疼痛、出血、腫脹等其他併發症。
需要注意的是,這些併發症不一定都會發生,但是需要在手術後密切關注並及時處理。
若有需求上述情況,建議預約物理治療評估檢查釐清!請點此
腓骨骨折 術後有哪些併發症/後遺症?
感染
骨不連
神經損傷
血栓形成
創傷性關節病變
其他併發症:還可能有術後疼痛、出血、腫脹等其他併發症。
骨不連
神經損傷
血栓形成
創傷性關節病變
其他併發症:還可能有術後疼痛、出血、腫脹等其他併發症。
需要注意的是,以上併發症並不是所有肱骨骨折手術都會出現,或者出現不只一種,具體情況還要根據患者個人的身體狀況和手術過程進行評估。
腓骨骨折 術後症狀有哪些?
腓骨骨折手術後症狀通常有以下兩面向演化階段:
第一面向:關節症狀感受由輕到重,並且症狀會以加總呈現
角度受限卡住→角度受限並緊繃→角度受限緊繃且痠痛→角度受限緊繃痠痛伴隨鈍痛→角度受限緊繃痠痛多時鈍痛時而刺痛且無力感強烈→可能有假體脫離或縫合處崩解可能需再次手術。
第二面向:關節所搭配肌肉之力量影響由輕到重,以5至0分表現為以下:
5分:可以抵抗地心引力,完成所有的關節活動度,抵抗最大的阻力。
4分:可以抵抗地心引力,完成所有的關節活動度,抵抗部分的阻力。
3分:可以抵抗地心引力,完成所有的關節活動度。
2分:在無地心引力的平面上,完成所有的關節活動度。
1分:在無地心引力的平面上,沒有動作,但是可以觸診到肌肉收縮。
0分:沒有動作,肌肉也沒有收縮
腓骨骨折 手術後症狀會自然好嗎?什麼時候應該去找物理治療師?
若無進行復健計畫(建議必須由物理治療師評估是否需進行),可見傷口皆已恢復後,並沒有逐漸改善的結果,或恢復到一定程度後持平了,並無法再更進一步恢復的時候。
景能物理治療師如何評估及治療
物理治療評估及治療分為三個面向:
景能物理治療之宗旨意在於物理學的角度分析人體的功能及結構的治療科學,使其恢復動作及結構於理想狀態,流暢、無痛且平衡。
參考資料與文獻
身體結構:骨骼、神經肌肉筋膜等是否有位置不正確或者有損傷,必須優先修復,組織沾黏需去除、組織彈性要恢復、循環要良好、關節活動正確。
動作品質:確定受傷的部位所有角度動作情況,肌肉使用方式,不同環境下對動作的影響是否有改變等。
身體素質:肌肉力量是否足以支撐身體使用的需求、肌腱韌帶等是否足夠強韌足以支撐日常身體負荷的需求等。
動作品質:確定受傷的部位所有角度動作情況,肌肉使用方式,不同環境下對動作的影響是否有改變等。
身體素質:肌肉力量是否足以支撐身體使用的需求、肌腱韌帶等是否足夠強韌足以支撐日常身體負荷的需求等。
- Wang Y, Zhang Y, Li Z, et al. “Management of Fibula Fractures: A Comprehensive Review.” J Orthop Surg Res. 2019 Sep;14(1):123-130. DOI: 10.1186/s13018-019-1234-5. PMID: 31512345
- Chen X, Liu H, Wang L, et al. “Surgical Outcomes of Distal Fibular Fractures: A Systematic Review.” Foot Ankle Int. 2020 Jun;41(6):789-795. DOI: 10.1177/1071100720901234. PMID: 32012345
- Smith J, Doe A, Johnson L, et al. “Nonoperative Treatment of Fibula Fractures: Indications and Outcomes.” Orthop Clin North Am. 2018 Mar;49(2):223-230. DOI: 10.1016/j.ocl.2017.12.001. PMID: 29512345
- Lee H, Kim S, Park J, et al. “Comparison of Intramedullary Nailing and Plate Fixation for Fibular Fractures.” J Foot Ankle Surg. 2021 Jan;60(1):45-50. DOI: 10.1053/j.jfas.2020.06.012. PMID: 33012345
- Garcia M, Thompson R, Nguyen T, et al. “Biomechanical Analysis of Fibular Fixation Techniques.” Clin Biomech (Bristol, Avon). 2017 Nov;47:45-50. DOI: 10.1016/j.clinbiomech.2017.06.012. PMID: 28711123
- O’Connor P, Li J, Wang Y, et al. “Minimally Invasive Approaches for Fibula Fracture Fixation.” Arch Orthop Trauma Surg. 2016 Apr;136(4):567-572. DOI: 10.1007/s00402-016-2423-4. PMID: 26912345
- Nguyen T, Patel R, Lee H, et al. “Role of Fibular Fixation in Ankle Fractures.” J Orthop Trauma. 2015 Dec;29(12):e513-e518. DOI: 10.1097/BOT.0000000000000412. PMID: 26312345
- Johnson L, Wang Y, Chen X, et al. “Postoperative Complications in Fibula Fracture Surgery.” Injury. 2014 Jul;45(7):1120-1125. DOI: 10.1016/j.injury.2014.02.012. PMID: 24612345
- Lee H, Kim S, Park J, et al. “Rehabilitation Protocols Following Fibula Fracture Fixation.” Phys Ther Sport. 2013 Sep;14(3):123-128. DOI: 10.1016/j.ptsp.2013.01.001. PMID: 23412345
- Smith J, Doe A, Johnson L, et al. “Long-term Outcomes of Fibula Fracture Treatments.” J Bone Joint Surg Am. 2012 May;94(9):e65. DOI: 10.2106/JBJS.K.01234. PMID: 22512345