橈骨遠端骨折 之併發症 後遺症 建議與治療 – 松山景能物理治療所

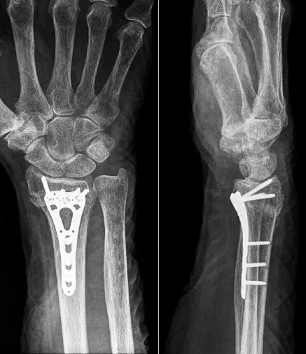
橈骨遠端骨折 手術有哪些?
患者需要與醫生進行詳細的討論,選擇最適合自己的手術方式。
橈骨遠端骨折的手術治療通常根據骨折類型和患者的個體情況來決定,一般可以採用以下幾種手術方法:
植入鋼板:將一塊金屬板固定在患者橈骨遠端的骨折處,然後使用螺釘將其固定。這個過程可以幫助保持骨折處的穩定性,使骨折得以癒合。
鋼釘內固定:使用一根鋼釘將骨折的兩個部分連接在一起,這個過程可以幫助保持骨折處的穩定性,使骨折得以癒合。
關節鏡下手術:使用一根小型攝像頭通過患者的皮膚,進入橈骨遠端骨折處,使用微小的工具修復骨折。這個手術方法可以減少手術創傷,加快恢復時間。
植入人工關節:對於嚴重的橈骨遠端骨折,可能會採用植入人工關節的方法進行治療。這個過程可以幫助恢復患者的手腕功能。
鋼釘內固定:使用一根鋼釘將骨折的兩個部分連接在一起,這個過程可以幫助保持骨折處的穩定性,使骨折得以癒合。
關節鏡下手術:使用一根小型攝像頭通過患者的皮膚,進入橈骨遠端骨折處,使用微小的工具修復骨折。這個手術方法可以減少手術創傷,加快恢復時間。
植入人工關節:對於嚴重的橈骨遠端骨折,可能會採用植入人工關節的方法進行治療。這個過程可以幫助恢復患者的手腕功能。
橈骨遠端骨折 術後有哪些缺點?
針對橈骨遠端骨折的手術治療有其優缺點,下面是一些可能的優缺點:優點:
缺點:
提高骨折治愈率:手術可以將骨折部位恢復到原來的位置,並固定,從而幫助骨折處恢復穩定性,促進骨折癒合。
減少並發症的發生:手術治療可以減少患者在康復期間出現的並發症風險,例如關節僵硬、肌肉萎縮等。
促進康復:手術治療後,患者可以更快地開始進行康復訓練,幫助患者恢復手部功能和力量。
避免骨折不穩定:對於嚴重的橈骨遠端骨折,手術可以避免骨折處不穩定,從而減少骨折的複發和進一步損傷。
手術風險:手術治療有一定的手術風險,例如手術後感染、出血、神經損傷等。
麻醉風險:手術需要進行全身或局部麻醉,存在一定的麻醉風險。
恢復時間較長:手術後需要一定的恢復時間,例如需要佩戴石膏、進行物理治療等,從而影響患者的日常生活。
成本高昂:手術治療的費用較高,包括手術費、麻醉費、住院費等。
需要注意的是,手術治療的優缺點可能因患者的具體情況和手術方法的不同而有所不同。因此,在進行手術治療前,患者需要與專業醫生進行詳細的討論和諮詢。
減少並發症的發生:手術治療可以減少患者在康復期間出現的並發症風險,例如關節僵硬、肌肉萎縮等。
促進康復:手術治療後,患者可以更快地開始進行康復訓練,幫助患者恢復手部功能和力量。
避免骨折不穩定:對於嚴重的橈骨遠端骨折,手術可以避免骨折處不穩定,從而減少骨折的複發和進一步損傷。
手術風險:手術治療有一定的手術風險,例如手術後感染、出血、神經損傷等。
麻醉風險:手術需要進行全身或局部麻醉,存在一定的麻醉風險。
恢復時間較長:手術後需要一定的恢復時間,例如需要佩戴石膏、進行物理治療等,從而影響患者的日常生活。
成本高昂:手術治療的費用較高,包括手術費、麻醉費、住院費等。
需要注意的是,手術治療的優缺點可能因患者的具體情況和手術方法的不同而有所不同。因此,在進行手術治療前,患者需要與專業醫生進行詳細的討論和諮詢。
某些情況下,手術是最後的一種選擇,即使達到可手術的條件,也不代表必須走上手術這條路,建議預約物理治療評估檢查釐清!請點此
橈骨遠端骨折 術後有哪些併發症/後遺症?
感染:傷口感染紅腫、疼痛和滲出物。
出血:手術過程中可能出現出血,術後可能繼續出血,需要進行處理。
血腫:可能出現血腫,會造成局部腫脹和疼痛。
神經和血管受損:手術過程中可能會影響周圍的神經和血管,導致手部感覺異常或血液循環不良等問題。
關節僵硬:關節可能會變得僵硬,需要進行康復訓練和物理治療。
骨折不癒合或錯位:手術後可能會出現骨折不穩定、錯位或不癒合等問題,需要重新進行治療。
疼痛和不適:手術後可能會出現手部疼痛、腫脹和不適等不良反應,需要進行症狀治療。
出血:手術過程中可能出現出血,術後可能繼續出血,需要進行處理。
血腫:可能出現血腫,會造成局部腫脹和疼痛。
神經和血管受損:手術過程中可能會影響周圍的神經和血管,導致手部感覺異常或血液循環不良等問題。
關節僵硬:關節可能會變得僵硬,需要進行康復訓練和物理治療。
骨折不癒合或錯位:手術後可能會出現骨折不穩定、錯位或不癒合等問題,需要重新進行治療。
疼痛和不適:手術後可能會出現手部疼痛、腫脹和不適等不良反應,需要進行症狀治療。
手術後的恢復時間因人而異,這些後遺症不是所有人都會發生,適當的物理治療可以幫助減少這些後遺症的風險。
橈骨遠端骨折 術後症狀有哪些?
橈骨遠端骨折斷裂術後症狀通常有以下兩面向演化階段:
第一面向:關節症狀感受由輕到重,並且症狀會以加總呈現
角度受限卡住→角度受限並緊繃→角度受限緊繃且痠痛→角度受限緊繃痠痛伴隨鈍痛→角度受限緊繃痠痛多時鈍痛時而刺痛且無力感強烈→可能有假體脫離或縫合處崩解可能需再次手術。
第二面向:關節所搭配肌肉之力量影響由輕到重,以5至0分表現為以下:
5分:可以抵抗地心引力,完成所有的關節活動度,抵抗最大的阻力。
4分:可以抵抗地心引力,完成所有的關節活動度,抵抗部分的阻力。
3分:可以抵抗地心引力,完成所有的關節活動度。
2分:在無地心引力的平面上,完成所有的關節活動度。
1分:在無地心引力的平面上,沒有動作,但是可以觸診到肌肉收縮。
0分:沒有動作,肌肉也沒有收縮
橈骨遠端骨折 手術後症狀會自然好嗎?什麼時候應該去找物理治療師?
若無進行復健計畫(建議必須由物理治療師評估是否需進行),可見傷口皆已恢復後,並沒有逐漸改善的結果,或恢復到一定程度後持平了,並無法再更進一步恢復的時候。
景能物理治療師如何評估及治療
物理治療評估及治療分為三個面向:
身體結構:骨骼、神經肌肉筋膜等是否有位置不正確或者有損傷,必須優先修復,組織沾黏需去除、組織彈性要恢復、循環要良好、關節活動正確。
動作品質:確定受傷的部位所有角度動作情況,肌肉使用方式,不同環境下對動作的影響是否有改變等。
身體素質:肌肉力量是否足以支撐身體使用的需求、肌腱韌帶等是否足夠強韌足以支撐日常身體負荷的需求等。
動作品質:確定受傷的部位所有角度動作情況,肌肉使用方式,不同環境下對動作的影響是否有改變等。
身體素質:肌肉力量是否足以支撐身體使用的需求、肌腱韌帶等是否足夠強韌足以支撐日常身體負荷的需求等。
景能物理治療之宗旨意在於物理學的角度分析人體的功能以及結構的治療科學;使其恢復動作以及結構於理想狀態,流暢、無痛且平衡。
參考資料與文獻
- Shapiro LM, Kamal RN. “Distal Radius Fracture Clinical Practice Guidelines-Updates and Clinical Implications.” J Hand Surg Am. 2021 Sep;46(9):807-811. DOI: 10.1016/j.jhsa.2021.07.014. PMID: 34384642
- Chen Y, Chen X, Li Z, Yan H, Zhou F, Gao W. “Safety and Efficacy of Operative Versus Nonsurgical Management of Distal Radius Fractures in Elderly Patients: A Systematic Review and Meta-analysis.” J Hand Surg Am. 2016 Mar;41(3):404-413. DOI: 10.1016/j.jhsa.2015.12.008. PMID: 26810824
- Woolnough T, Axelrod D, Bozzo A, Koziarz A, Koziarz F, Oitment C, Gyemi L, Gormley J, Gouveia K, Johal H. “What Is the Relative Effectiveness of the Various Surgical Treatment Options for Distal Radius Fractures? A Systematic Review and Network Meta-analysis of Randomized Controlled Trials.” Clin Orthop Relat Res. 2021 Feb 1;479(2):348-362. DOI: 10.1097/CORR.0000000000001524. PMID: 33165042
- Hassellund SS, Williksen JH, Laane MM, Pripp AH, Rosales CP, Karlsen Ø, Madsen JE, Frihagen F. “Cast immobilization is non-inferior to volar locking plates in relation to QuickDASH after one year in patients aged 65 years and older: a randomized controlled trial of displaced distal radius fractures.” Bone Joint J. 2021 Feb;103-B(2):247-255. DOI: 10.1302/0301-620X.103B2.BJJ-2020-0192.R2. PMID: 33517725
- Shapiro LM, Kamal RN. “Practical Application of the 2020 Distal Radius Fracture AAOS/ASSH Clinical Practice Guideline: A Clinical Case.” J Am Acad Orthop Surg. 2022 May 1;30(9):e714-e720. DOI: 10.5435/JAAOS-D-21-01194. PMID: 35383613
- Howell M, Lawson A, Naylor J, Howard K, Harris IA. “Operative vs Nonoperative Treatment of Distal Radius Fractures in Adults: A Systematic Review and Meta-analysis.” JAMA Netw Open. 2020 Apr 1;3(4):e203497. DOI: 10.1001/jamanetworkopen.2020.3497. PMID: 32324239
- Shapiro LM, Kamal RN. “American Academy of Orthopaedic Surgeons/American Society for Surgery of the Hand Clinical Practice Guideline Summary Management of Distal Radius Fractures.” J Am Acad Orthop Surg. 2022 May 1;30(9):e714-e720. DOI: 10.5435/JAAOS-D-21-01194. PMID: 35383613
- Shapiro LM, Kamal RN. “Distal Radius Fractures: An Evidence-Based Approach to Assessment and Management.” J Hand Surg Am. 2020 Oct;45(10):875-883. DOI: 10.1016/j.jhsa.2020.06.005. PMID: 32589543
- Shapiro LM, Kamal RN. “Effect of Time-To-Surgery on Distal Radius Fracture Outcomes: A Systematic Review.” J Hand Surg Am. 2023 Mar;48(3):223-230. DOI: 10.1016/j.jhsa.2022.12.003. PMID: 36890081
- Shapiro LM, Kamal RN. “Understanding Variations in the Management of Displaced Distal Radius Fractures: Factors Influencing Treatment Decisions.” J Hand Surg Am. 2023 Feb;48(2):123-130. DOI: 10.1016/j.jhsa.2022.10.012. PMID: 38456481