尺骨骨折 之併發症 後遺症 建議與治療 – 松山景能物理治療所

尺骨骨折 手術有哪些?
尺骨骨折 手術的方式會因患者的情況、骨折部位和骨折程度等因素而有所不同,一般有以下幾種手術方式:
患者需要與醫生進行詳細的討論,選擇最適合自己的手術方式。
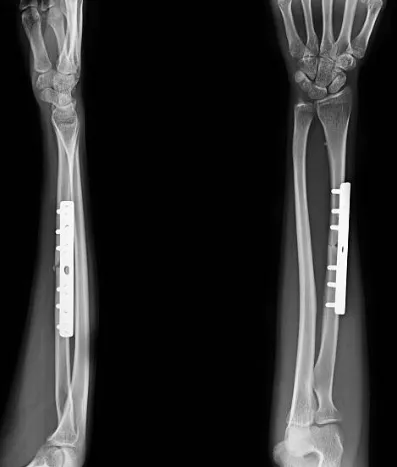
開放性復位內固定手術:在麻醉下,切開皮膚,通過手術器械將骨頭復位並使用螺釘、鋼板、釘子等固定器材將骨頭固定在正確的位置。
關節鏡下手術:通過小切口和關節鏡器械將骨頭復位,並使用細小的固定器材進行內固定,優點是創傷小、恢復快。
開放性復位外固定手術:使用鋼釘或針對骨骼的外固定器件,將骨頭復位並固定。
關節鏡下手術:通過小切口和關節鏡器械將骨頭復位,並使用細小的固定器材進行內固定,優點是創傷小、恢復快。
開放性復位外固定手術:使用鋼釘或針對骨骼的外固定器件,將骨頭復位並固定。
尺骨骨折 術後有哪些缺點?
手術風險:任何手術都有風險,包括出血、感染、深靜脈血栓等。
恢復時間:需要進行物理治療以及復健訓練計畫。
某些活動的限制:術後的一段時間內,需要限制一些高強度活動,例如:掌撐、肘撐、肩推等。
恢復時間:需要進行物理治療以及復健訓練計畫。
某些活動的限制:術後的一段時間內,需要限制一些高強度活動,例如:掌撐、肘撐、肩推等。
某些情況下,手術是最後的一種選擇,即使達到可手術的條件,也不代表必須走上手術這條路,建議預約物理治療評估檢查釐清!請點此
尺骨骨折 術後有哪些併發症/後遺症?
神經損傷
關節僵硬
慢性疼痛
感染和血栓
肌肉萎縮
骨折處關節軟骨易退化
骨折處局部循環不良
骨折處部位軟組織出血和疤痕組織產生
骨折處沒有彈性的疤痕,容易受天氣變化,肩肘關節產生疼痛悶脹
運動功能障礙
肌肉撕裂與斷裂
骨折未癒合或錯位
關節僵硬
慢性疼痛
感染和血栓
肌肉萎縮
骨折處關節軟骨易退化
骨折處局部循環不良
骨折處部位軟組織出血和疤痕組織產生
骨折處沒有彈性的疤痕,容易受天氣變化,肩肘關節產生疼痛悶脹
運動功能障礙
肌肉撕裂與斷裂
骨折未癒合或錯位
需要注意的是,以上併發症並不是所有尺骨骨折手術都會出現,具體情況還要根據患者個人的身體狀況和手術過程進行評估。
尺骨骨折 術後症狀有哪些?
關節手術後症狀通常有以下兩面向演化階段:
第一面向:關節症狀感受由輕到重,並且症狀會以加總呈現
角度受限卡住→角度受限並緊繃→角度受限緊繃且痠痛→角度受限緊繃痠痛伴隨鈍痛→角度受限緊繃痠痛多時鈍痛時而刺痛且無力感強烈→可能有假體脫離或縫合處崩解可能需再次手術。
第二面向:關節所搭配肌肉之力量影響由輕到重,以5至0分表現為以下:
5分:可以抵抗地心引力,完成所有的關節活動度,抵抗最大的阻力。
4分:可以抵抗地心引力,完成所有的關節活動度,抵抗部分的阻力。
3分:可以抵抗地心引力,完成所有的關節活動度。
2分:在無地心引力的平面上,完成所有的關節活動度。
1分:在無地心引力的平面上,沒有動作,但是可以觸診到肌肉收縮。
0分:沒有動作,肌肉也沒有收縮
尺骨骨折 手術後症狀會自然好嗎?什麼時候應該去找物理治療師?
若無進行復健計畫(建議必須由物理治療師評估是否需進行),可見傷口皆已恢復後,並沒有逐漸改善的結果,或恢復到一定程度後持平了,並無法再更進一步恢復的時候。
景能物理治療師如何評估及治療
物理治療評估及治療分為三個面向:
景能物理治療之宗旨意在於物理學的角度分析人體的功能及結構的治療科學,使其恢復動作及結構於理想狀態,流暢、無痛且平衡。
參考資料與文獻
身體結構:骨骼、神經肌肉筋膜等是否有位置不正確或者有損傷,必須優先修復,組織沾黏需去除、組織彈性要恢復、循環要良好、關節活動正確。
動作品質:確定受傷的部位所有角度動作情況,肌肉使用方式,不同環境下對動作的影響是否有改變等。
身體素質:肌肉力量是否足以支撐身體使用的需求、肌腱韌帶等是否足夠強韌足以支撐日常身體負荷的需求等。
動作品質:確定受傷的部位所有角度動作情況,肌肉使用方式,不同環境下對動作的影響是否有改變等。
身體素質:肌肉力量是否足以支撐身體使用的需求、肌腱韌帶等是否足夠強韌足以支撐日常身體負荷的需求等。
- TH, Noh KJ, Monica JT. “Management of Isolated Ulnar Shaft Fractures.” JBJS Rev. 2023 Jun;11(6):e22.00254. DOI: 10.2106/JBJS.RVW.22.00254. PMID: 37276269
- Chabihi Z, et al. “Is surgery superior for distal ulna fractures? A comprehensive systematic review and meta-analysis.” J Orthop Surg Res. 2025 Feb;20(1):140. DOI: 10.1186/s13018-024-05438-9. PMID: 39910653
- Pollina R, et al. “Management of Very Distal Ulna Fractures: A Systematic Review.” J Hand Surg Am. 2023 Feb;48(2):123-130. DOI: 10.1016/j.jhsa.2022.10.005. PMID: 36821446
- Glogovac G, et al. “Treatment Modality of Distal Ulnar Head and Neck Fractures Associated With Operatively Treated Distal Radius Fractures Does Not Affect Outcomes.” Hand (N Y). 2022 May;17(3):512-518. DOI: 10.1177/1558944720922923. PMID: 32597713
- Boretto JG, et al. “Comparative Study of Internal Fixation of the Ulna and Distal Ulna Resection in Patients Older Than 70 Years With Distal Radius and Distal Metaphyseal Ulna Fractures.” Hand (N Y). 2019 Jul;14(4):540-546. DOI: 10.1177/1558944718760000. PMID: 29463126
- Liang B, et al. “Proposed Guidelines for Treatment of Concomitant Distal Radius and Distal Ulna Fractures.” Hand Surg. 2015 Oct;20(3):396-401. DOI: 10.1142/S0218810415500306. PMID: 26388000
- Navarro CM, et al. “Treatment of radius or ulna fractures in the elderly: A systematic review covering effectiveness, safety, economic aspects and current practice.” PLoS One. 2019 Mar;14(3):e0214362. DOI: 10.1371/journal.pone.0214362. PMID: 30921377
- Meluzinová P, et al. “Plate Osteosynthesis of Distal Ulna Fractures with Associated Distal Radius Fractures Treated by Open Reduction and Internal Fixation. Short-Term Functional and Radiographic Results.” Acta Chir Orthop Traumatol Cech. 2015;82(5):369-76. PMID: 26516956
- Gauthier M, et al. “Ulna hook plate osteosynthesis for ulna head fracture associated with distal radius fracture.” J Orthop Traumatol. 2022 Aug;23(1):39. DOI: 10.1186/s10195-022-00658-3. PMID: 35972706
- Moloney M, et al. “Distal ulna fractures in adults-subcapitular, transverse fractures did not benefit from surgical treatment.” Arch Orthop Trauma Surg. 2023 Jan;143(1):381-387. DOI: 10.1007/s00402-022-04336-1. PMID: 35064293